Vélez & Lozano ofrece un novedoso tratamiento para el síndrome dental MIH
La clínica dental pone a disposición de los padres un nuevo servicio de odontopediatría

La doctora Vanesa Rico de Velez & Lozano
La Hipomineralización Incisivo Molar (MIH por sus siglas en inglés) es una alteración del esmalte del diente que afecta a uno o más de los primeros molares e incisivos permanentes con la que las clínicas dentales como Vélez & Lozano están cada vez más familiarizados, pues este problema reciente afecta cada año a más niños. Aunque se desconocen las causas exactas que puedan estar llevando a que este síndrome se multiplique con los años, es algo que no solo está ocurriendo en España.
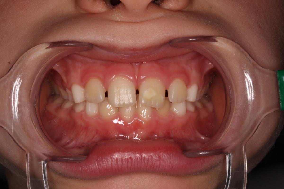
Primeramente, aclarar que el MIH se caracteriza por la presencia de manchas opacas blancas, amarillas y marrones, de aspecto mate, asimétricas, bien delimitadas y con alta porosidad. Esto refiere un primer y evidente problema a nivel estético que suele preocupar a los padres debido a que afecta a niños de 6 a 8 años y afecta al complejo y completo desarrollo de su autoestima, repercutiendo además directamente en sus relaciones con otros niños en los colegios y otros centros.

El MIH se caracteriza por la presencia de manchas opacas blancas, amarillas y marrones,
Sin embargo, a nivel odontológico, lo más preocupante del MIH es que provoca una debilitación del esmalte, la capa externa y protectora del diente, que puede llegar a ser muy severa. Las consecuencias que más refieren los niños con este síndrome que acuden la clínica dental en Murcia de Vélez & Lozano son:
- Hipersensibilidad. Lo que provoca multitud de problemas, empezando por las dificultades para su rutina de higiene dental (como al niño o niña le duele no se cepilla correctamente, lo que facilita la proliferación de bacterias y la aparición temprana de caries) y puede llegar a casos bastante más problemáticos en los que la anestesia local no hace el efecto deseado, impidiendo así cualquier intento de tratar al niño/a.
- Avance rápido de las caries. Como el esmalte se desintegra y las caries avanzan tan rápido, en el intervalo de unos pocos meses entre revisiones bien podría haberse dado el caso de que una caries que no existía haya avanzado tanto como para llegar a afectar a la pulpa (el nervio), provocando dolor e infección y en algunas ocasiones incluso la pérdida del diente. Esta es, sin duda, una de las consecuencias que más preocupa a padres y odontólogos.
- Retratamientos. Como el esmalte desmineralizado es débil y de mala calidad, los empastes no se adhieren bien al mismo y hay que repetirlos con más frecuencia de lo habitual.
Solución
Si bien hasta hace relativamente poco no existía un tratamiento para el MIH, la Clínica Dental Vélez & Lozano en Murcia, gracias a la iniciativa de su odontopediatra, la doctora Vanesa Rico, ha podido poner a disposición de sus pacientes una combinación de tratamientos que ofrece a forma de ‘pack’ combinado bajo la duración de 3 meses que ha demostrado ser la solución más efectiva a la hora de remineralizar y disminuir la sensibilidad de los dientes afectados.

Clínica Dental Vélez & Lozano
Este tratamiento, que se realiza tanto en la propia clínica dental como en casa, precisa de la supervisión tanto de la odontopediatra como de los padres del paciente y se realiza a lo largo de 3 visitas en las que se entregan los productos e instrucciones necesarios para llevar a cabo el tratamiento.
Además, y hasta septiembre de 2022, el tratamiento está bonificado con un 14% de descuento sobre su precio fijado.
Aquellos padres interesados en obtener más información, o en concertar una cita, pueden contactar con la clínica a través del 968 28 46 28, o a través de su web haciendo clic aquí.
Más sobre Vélez & Lozano
Web: https://velezylozano.com/
Teléfono: 968 28 46 28
Mail: pacientes@velezylozano.com
Dirección: C/ Salvador de Madariaga 5, 30009 Murcia (España)
- Grupo Orenes compra el cine Rex de Murcia para reabrirlo como un espacio cultural, artístico y social
- Educación no cierra la puerta a que los alumnos sigan en el colegio hasta los 16 años
- Forbes elige dos colegios de la Región de Murcia entre los 100 mejores de España en 2026
- López Miras anuncia un proceso extraordinario para cubrir más de medio centenar de plazas del Consorcio de Bomberos
- De Murcia a Venecia por 9 euros en verano: estos son los precios para volar desde Corvera a la ciudad de los canales
- Atraca a punta de cuchillo un banco de Murcia y deja herida y sangrando a una mujer
- Trinitario Casanova, fuera de los negocios: condenado a 8 años sin poder administrar empresas
- Alberto Buendía, de abrir una pequeña heladería en Puente Tocinos a hacer el mejor helado de España: 'Queremos llevar Snoopy fuera de Murcia
